£65 – 70 mins (same price for members and non-members)


DELUXE REFLEXOLOGY including SOUND THERAPY (Myofascial Sonic Therapy) and ESSENTIAL OILS
- As well as using hands, I use tuning forks to give your feet and lower legs a ‘sonic massage’, releasing fascia and moving lymph, reflexology is taken to a whole new level!
- Essential oils work their plant magic on the emotions, mind and soul, not just on physical symptoms
- The frequencies and vibrations travel up through the body helping to bring it back into balance
- Deeply restorative for body, mind, emotions and soul
WHAT IS REFLEXOLOGY?
Reflexology is a technique that applies gentle pressure to your feet, hands, face or ears. It aims to bring about a state of relaxation and help the body’s own healing process.
Reflexology works in a similar way to acupressure and acupuncture with meridian points on the feet, hands, face and ears which correspond to the organs and glands in the body. By pressing and massaging these points it can stimulate energy pathways in the body.
If any energy pathways are blocked reflexology aims to unblock them, allowing the energy to flow freely again, which helps restore balance to the body. Essential oils are also included in all reflexology treatments.
Make sure you are well hydrated. Take it easy and make time to relax after your treatment.
Depending on the length of session you have booked, I can combine multiple treatment.
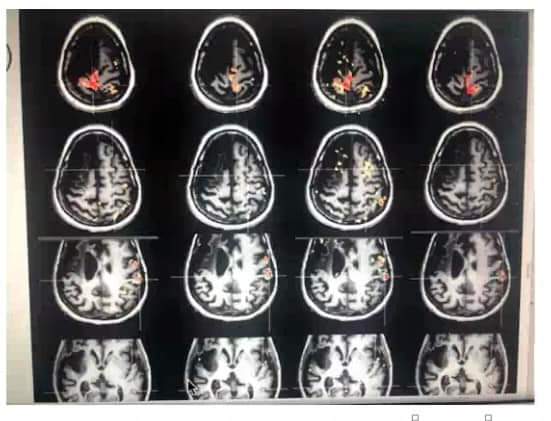
Fascinating recent research about how the brain lights up during a reflexology treatment …
[Source: Barefoot Holistics Reflexology 21.5.24 https://www.facebook.com/share/p/L8sjntM8p6Etfeq9/ ]
“Exciting news for reflexology and how medical science views the human body! 👣🧠
As part of a medical school research project, thousands of brain scans were taken while participants received foot reflexology.
Neuroscientists were ‘blown away’ by the results, with the lead investigator saying the brain was ‘activated like a Christmas tree’.
What stumped the researchers most was that reflexology activated parts of the brain that have no direct connection to the feet!
Here’s a summary of the results from Kevin & Barbara Kunz who shared the findings in a webinar for reflexologists last week:

#reflexologyresearch #lovereflexology #reflexologyworks #reflexologytherapy #reflexologybenefits #fmri Kevin Kunz
LEGAL STATEMENT – A Sound Healer / Reflexology Practitioner / Reiki Practitioner / Aromatherapy -Essential Oils Practitioner /New Vision Therapist is not a doctor [or vet in the case of animal clients] and therefore will not diagnose or treat any specific Illness. These services are not substitutes for medical advice, diagnosis or treatment from a doctor or health care professional [or vet in the case of animal clients]. They are designed to enhance wellness and should be used in conjunction with your traditional medical [or veterinary] care. As these are complementary therapies, we make no claims that they are a cure. Any prescribed medication should continue to be taken unless advised otherwise by a medical practitioner [or vet in the case of animal clients]. If you or your animal have any health concerns, you should seek medical/veterinary help.



